Малышка могла умереть, если бы родители промедлили с визитом к медикам

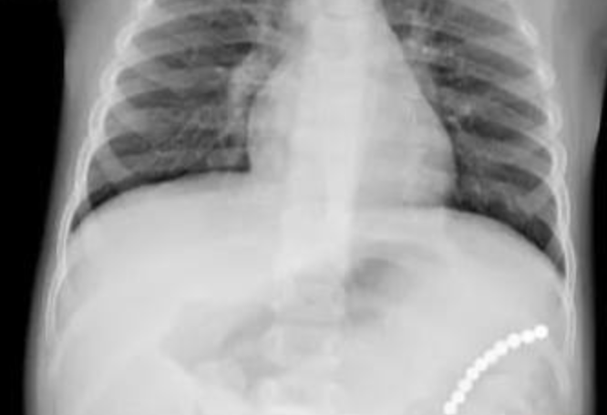
В Екатеринбурге врачи чудом спасли пятилетнюю девочку, которая проглотила 10 магнитных шариков.
Малышка по имени Ульяна поступила в больницу из-за плохого самочувствия. Родители увидели состояние ребенка и сразу повезли ее к врачам. Первым предварительным диагнозом была пневмония, но в результате обследования выяснилось, что причина болезни в другом. Дошкольница проглотила несколько магнитов, пока родители не видели.
К счастью, родители вовремя обратили внимание на дочку и поняли, что что-то не так. Если бы прошло больше времени, малышка могла скончаться. Медики провели операцию по удалению инородных предметов, а после недолгой реабилитации ее выписали.
Ранее «Жизнь» сообщала, что в Мьянме модель из Беларуси сделали рабыней, продали на органы и кремировали.