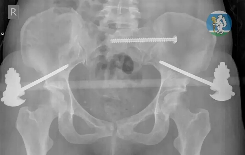
Пациентка поступила с переломами таза, ноги и травмами позвоночника

В Екатеринбурге врачи спасли 36-летнюю женщину, которая выжила после падения с седьмого этажа.
Пострадавшая, как стало известно, выпала из окна, поскользнувшись на подоконнике, когда мыла окна. Каким-то чудом женщина пережила падение, но получила серьезные травмы. Ее увезли в больницу с черепно-мозговой травмой, повреждением позвоночника, переломами таза и ноги.

Медикам удалось реанимировать пострадавшую, а затем они успешно провели несколько операций, «починив» переломанные ноги и таз. В течение месяца екатеринбурженка лежала в больнице, восстанавливаясь, а затем ее выписали домой. Теперь ей предстоит пройти долгую реабилитацию и вернуться к полноценной жизни.
Ранее «Жизнь» сообщала, что в Башкирии врачи спасли 16-летнюю девочку, достав из ее желудка комок волос.