Теперь у мужчины нельзя измерить пульс или давление

В России врачи впервые создали пациенту механическое сердце и тем самым спасли ему жизнь.
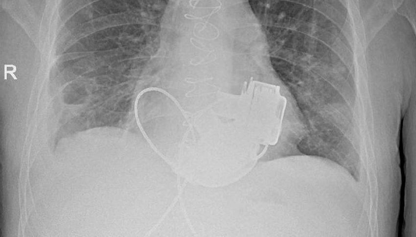
Особенную операцию провели в Мариинской больнице Санкт-Петербурга. 36-летний Антон поступил в руки врачей в тяжелом состоянии, у него диагностировали кардиомиопатию и сердечную недостаточность. На фоне осложнений после пневмонии оба желудочка сердца перестали справляться со своей работой, при этом вариант трансплантации был недоступен.
Ради спасения жизни парня целая бригада хирургов занялась им и провела крайне сложную операцию по имплантации двух искусственных желудочков. Теперь у Антона невозможно измерить пульс или давление, поскольку импланты создают только непульсирующий кровоток. Каждые 17 часов мужчина должен заряжать обновленное механическое сердце от двух аккумуляторов.
Мужчина жаждет поскорее вернуться к семье и двум своим детям, чувствует себя хорошо. Ему предстоит дождаться своей очереди на пересадку сердца.
Ранее «Жизнь» сообщала, что под Красноярском поймали и увезли в зоопарк белого медведя, нападавшего на людей.